Skip to Content
MilliporeSigma

07-748-AF555

Sigma-Aldrich

Anti-monomethyl Histone H4 (Lys20), Alexa Fluor 555 conjugate

from rabbit, ALEXA FLUOR 555

Synonym(s):

H4K20me1, Histone H4, Lys20 monomethylated, H4 histone family member, Lys20 monomethylated

Sign Into View Organizational & Contract Pricing

Select a Size


About This Item

UNSPSC Code:
12352203
eCl@ss:
32160702
NACRES:
NA.45
Technical Service
Need help? Our team of experienced scientists is here for you.
Let Us Assist
Technical Service
Need help? Our team of experienced scientists is here for you.
Let Us Assist

biological source

rabbit

Quality Level

conjugate

ALEXA FLUOR 555

antibody form

purified antibody

antibody product type

primary antibodies

clone

polyclonal

species reactivity

human

technique(s)

immunocytochemistry: suitable

NCBI accession no.

UniProt accession no.

target post-translational modification

monomethylation (Lys20)

Gene Information

human ... HIST2H4B(554313)

General description

Histone H4 (UniProt P62805; also known as H4 histone family member A, Histone 1 H4a) is encoded by the HIST1H4A (also known as H4/A, H4FA) gene (Gene ID 8359) in human. Histone H4 is one of the main histone proteins that contribut to the chromatin structure in both prokaryotic and eukaryotic cells. Consecutive methylation of the histone H4 Lys20 (H4K20) is dependent on nucleosome age, and different H4K20 methylation levels are found at distinct nuclear loci. H4K20 monomethylation (H4K20me1) is a repressive mark of transcribed genes, whereas H4K20 trimethylation (H4K20me3) is found in repetitive elements in the human genome. More than 80% of H4K20 is dimethylated in human cells. At least three different methyltransferases (KMTs) have been identified that can catalyze H4K20 methylation, while only lysine demethylases (KDMs) for H4K20me1, but not for H4K20me2 or H4K20me3, have been discovered. The monomethyltransferase gene Setd8 knockout in mouse and in Drosophila is lethal due to defects in cell cycle progression.
~10 kDa observed.

Immunogen

Epitope: H4K20me1.
KLH-conjugated, branched synthetic peptide corresponding to amino acids 15-25 (AKRHR[Kme]VLRDN) of human Histone H4 with monomethylated Lys20.

Application

Anti-monomethyl Histone H4 (Lys20), Alexa Fluor 555 conjugate is an antibody against monomethyl Histone H4 (Lys20), Alexa Fluor 555 conjugate for use in Immunocytochemistry.
Research Category
Epigenetics & Nuclear Function
Research Sub Category
Histones
The unconjugated antibody (Cat. No. 07-748) is shown to be suitable also for Immunocytochemistry, Multiplex assay, and Western blotting applications.

Biochem/physiol Actions

Broad species cross-reactivity expected due to sequence homology.
This polyclonal antibody detects histone H4 with monomethylated Lys20 (H4K20me1).

Physical form

Protein A purified
Purified rabbit polyclonal antibody conjugate in PBS with 15 mg/mL BSA and 0.1 % sodium azide.

Preparation Note

Stable for 1 year at 2-8°C from date of receipt.

Analysis Note

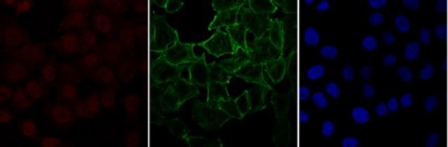
Evaluated by Immunocytochemistry in HeLa cells.

Immunocytochemistry Analysis: A 1:100 dilution of this antibody detected histone H4 Lys20 monomethylation in HeLa cells.

Other Notes

Concentration: Please refer to lot specific datasheet.

Legal Information

ALEXA FLUOR is a trademark of Life Technologies

Disclaimer

Unless otherwise stated in our catalog or other company documentation accompanying the product(s), our products are intended for research use only and are not to be used for any other purpose, which includes but is not limited to, unauthorized commercial uses, in vitro diagnostic uses, ex vivo or in vivo therapeutic uses or any type of consumption or application to humans or animals.

Not finding the right product?  

Try our Product Selector Tool.

Storage Class

12 - Non Combustible Liquids

wgk_germany

WGK 2

flash_point_f

Not applicable

flash_point_c

Not applicable


Certificates of Analysis (COA)

Search for Certificates of Analysis (COA) by entering the products Lot/Batch Number. Lot and Batch Numbers can be found on a product’s label following the words ‘Lot’ or ‘Batch’.

Already Own This Product?

Find documentation for the products that you have recently purchased in the Document Library.

Visit the Document Library

Our team of scientists has experience in all areas of research including Life Science, Material Science, Chemical Synthesis, Chromatography, Analytical and many others.

Contact Technical Service