Diagnostic Immunohistochemistry Procedures

Diagnostic immunohistochemistry (IHC) is a collection of different techniques devised to identify tissue abnormalities, establish prognoses, and indicate therapeutic options. The basic principle of diagnostic IHC is an antigen-antibody binding reaction where an antibody tagged with an enzyme or a fluorescent dye is used to visualize the localization and distribution of a specific antigen in tissues, or tissue sections. Although histological staining has been the main analytical tool for over a century, several improvements in diagnostic immunohistochemistry (IHC) and molecular analyses have revolutionized the field of modern clinical pathology.
Featured Categories
We offer a complete selection of microscopy reagents, tools, and glassware for research and clinical lab analysis from Corning®, BRAND®, PELCO®, and other reliable specialty brands.
Diagnostic IHC and Clinical Pathology
IHC is available as part of the routine service in general pathology laboratories, providing a convenient analytical and diagnostic tool. Although much of clinical diagnostics is still largely based on standard tissue staining, like hematoxylin and eosin (H&E), there are many ways in which IHC assists pathologists in the detection of problematic cases. Diagnostic immunostaining is regularly used to identify early subtle morphological or developmental cellular changes, like proliferation or apoptosis. Clinical antibodies can identify individual cell lineages by binding specific marker proteins. This antibody specificity can also result in false-positive/false-negative results, because immunostaining is sensitive to tissue handling, preservation, and reagent quality. Clinical pathology laboratories minimize testing errors by working under established protocols and training programs while utilizing clinically validated diagnostic antibodies, stains, and reagents. In particular, the development of highly specific monoclonal antibodies to key cell markers has led to the use of diagnostic IHC panels in research and clinical identification of disease states and guidance for surgical pathology.
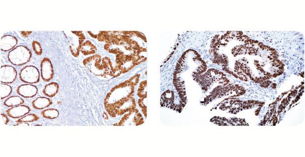
Diagnostic IHC and Cancers
Most cancers can be identified by a combination of histological staining and diagnostic immunohistochemistry by locating specific antigens in biopsy tissue. Determining an exact tumor type using standard H&E staining of formalin-fixed tissues can be challenging, especially with metastatic and/or poorly differentiated tumors. IHC provides a relatively rapid and simple method to better determine the origin of neoplastic tissue and investigate the behavior or progression of a given neoplasm. Cancer of unknown primary (CUP) is a condition in which cancer metastasis is observed but the primary site is unknown. It is estimated that of all cancers 3-5% cases fall under CUP. For critical CUP and other atypical cases where there is a disagreement in the morphological and clinical data, IHC proves to be important in narrowing the range of diagnostic alternatives. In some cases, it provides significant insights into a tentative diagnosis concerning the cancer phenotype and site of the primary tumor. In IHC, immunostaining proves to be a convenient diagnostic tool to detect many types of cancer, including adenocarcinomas (colon, breast, prostate) and skin. It is often used in colon cancer (HNPCC/Lynch Syndrome) diagnostics to complement classical detection methods like microsatellite instability (MSI), which is characterized by numerous alterations in a type of repetitive DNA. In skin cancer pathology, it is unreliable to identify intraepidermal melanocytes in standard H&E stained sections, especially on sun-damaged skin. Even close inspection may not help in clearly differentiating pigmented keratinocytes from melanocytes or distinctly delineate the melanocyte density. Thus, many pathologists recommend IHC to differentiate melanoma in situ from its mimics.
Diagnostic IHC and Infectious Agents
Diagnostic immunohistochemistry currently provides a rapid morphologic differential of infections in tissue samples from patients, facilitating rapid diagnostic decisions in patient care. Fluorescein isothiocyanate (FITC)-labeled antibodies have been used to detect pneumococcal antigens in infected tissues. In infectious disease detection, IHC has been very useful in identifying microorganisms that are:
- difficult to detect by routine or special stains
- stain poorly
- present in low numbers
- non-cultivable
Some diagnostic IHC methods are applied in cases of Hepatitis B, Hepatitis C, Cytomegalovirus infections to confirm infectious agents in tissues using specific antibodies raised against microbial DNA or RNA. Additionally, IHC is used in the detection of several cutaneous infections to identify specific viral and bacterial infections that are difficult to detect with certainty using routine microscopy stains alone. Immunofluorescence assay (IFA) has been extensively used for the detection of pathogens (viral, bacterial, or protozoal) in unfixed tissues in both human and veterinary medicine.
Visit our document search for data sheets, certificates and technical documentation.
Related Articles
- Colorectal cancer is a common occurrence among inhabitants of most Western countries, second only to carcinoma of the lung.
- Immunohistochemistry (IHC) is used to characterize intracellular proteins or various cell surfaces in all tissues. Individual markers or more often panels of various marker proteins can be used to characterize various tumor subtypes, confirm tissue of origin, distinguish metastatic from primary tumor and provide additional information which may be important for prognosis, predicting response to therapy or evaluating residual tumour post-treatment.
- Water for Clinical Chemistry
- Immunohistochemistry (IHC) represents an indispensable tool in cancer diagnostics.
- See All (6)
Related Protocols
- Tips and troubleshooting for FFPE and frozen tissue immunohistochemistry (IHC) protocols using both brightfield analysis of chromogenic detection and fluorescent microscopy.
- 3-D Culture Matrix™ Mouse Laminin I may be used as a gel or as a media additive to study cellular growth and differentiation in three dimensions in vitro.
- 3-D Culture Matrix™ Collagen I may be used as a gel on which to grow cells or a media additive alone or in concert with other basement membrane components to study cellular growth and differentiation in three dimensions in vitro.
- Cultrex® 3-D Culture Matrix™ RGF BME is the first Basement Membrane Extract produced and qualified specifically for use in 3D culture studies.
- The 3-D Spheroid Colorimetric Proliferation/Viability Assay offers high content format for inducing tumor spheroid formation and quantitating cell viability within the spheroids by absorbance using MTT.
- See All (27)
How Can We Help
In case of any questions, please submit a customer support request
or talk to our customer service team:
Email custserv@sial.com
or call +1 (800) 244-1173
Additional Support
- Chromatogram Search
Use the Chromatogram Search to identify unknown compounds in your sample.
- Calculators & Apps
Web Toolbox - science research tools and resources for analytical chemistry, life science, chemical synthesis and materials science.
- Customer Support Request
Customer support including help with orders, products, accounts, and website technical issues.
- FAQ
Explore our Frequently Asked Questions for answers to commonly asked questions about our products and services.
To continue reading please sign in or create an account.
Don't Have An Account?
