Skip to Content
Merck

ZRB1252

Anti-eNOS Antibody, clone 2F12 ZooMAb® Rabbit Monoclonal

greener alternative

recombinant, expressed in HEK 293 cells

Sign In to View Organizational & Contract Pricing.

Select a Size

Change View

About This Item

NACRES:
NA.41
UNSPSC Code:
12352203
Conjugate:
unconjugated
Clone:
2F12, monoclonal, recombinant monoclonal
Application:
ICC, IHC (p), WB, affinity binding assay
Citations:
-
Technical Service
Need help? Our team of experienced scientists is here for you.
Let Us Assist


biological source

rabbit

Quality Level

recombinant

expressed in HEK 293 cells

conjugate

unconjugated

antibody form

purified antibody

antibody product type

primary antibodies

clone

2F12, monoclonal, recombinant monoclonal

product line

ZooMAb® learn more

form

lyophilized

mol wt

calculated mol wt ~133.28 kDa, observed mol wt ~135 kDa

species reactivity

human, rat

species reactivity (predicted by homology)

bovine, mouse, canine, horse, monkey

packaging

antibody small pack of 25 μL

greener alternative product characteristics

Waste Prevention
Designing Safer Chemicals
Design for Energy Efficiency
Learn more about the Principles of Green Chemistry.

enhanced validation

recombinant expression
Learn more about Antibody Enhanced Validation

sustainability

Greener Alternative Product

technique(s)

affinity binding assay: suitable, immunocytochemistry: suitable, immunohistochemistry (formalin-fixed, paraffin-embedded sections): suitable, western blot: suitable

isotype

IgG

UniProt accession no.

greener alternative category

shipped in

ambient

storage temp.

2-8°C

target post-translational modification

unmodified

General description

Nitric oxide synthase, endothelial (UniProt: P29474; also known as EC:1.14.13.39, Constitutive NOS, cNOS, EC-NOS, Endothelial NOS, eNOS, NOS type III, NOSIII) is encoded by the NOS3 gene (Gene ID: 4846) in human. NOS is known to exist in three forms (a) a soluble, constitutively expressed enzyme found in high concentrations in the brain (nNOS or NOS-1), (b) a constitutively expressed endothelial membrane bound enzyme (eNOS, NOS-3), and (c) an inducible enzyme (iNOS or NOS-2) that is associated with the cytotoxic function of macrophages. They exhibit similarities in their structure and mechanism of action. Calmodulin is required for the activity of all three isoforms. All NOS are single polypeptides that differ in their rates of Nitric oxide ( NO), Ca2+- dependence, cytochrome c reduction, and NADPH utilization. For their catalytic activities NOS isoforms require three distinct domains: (a) a reductase domain, (b) a calmodulin-binding domain, and (c) an oxygenase domain. The reductase domain contains the FAD and FMN moieties. The oxygenase domain catalyzes the conversion of L-arginine to citrulline and NO. The eNOS is mainly expressed in vascular endothelial cells and cardiomyocytes. The NO produced by the eNOS in endothelial cells acts as a vasodilator and regulates blood flow and blood pressure. In cardiac cells, eNOS is expressed in response to shear stress, exercise, chronic hypoxia, and cardiac failure. In endothelial cells, eNOS is localized in specialized plasmalemmal pockets known as caveolae, which contain a scaffolding protein termed caveolin. Acylation of eNOS by either myristate or palmitate targets it to caveolae, which facilitates enzyme activation following receptor stimulation. In a resting cell, eNOS is inhibited by its interaction with caveolin. Following agonist activation, eNOS dissociates from caveolin and translocates to the cytosol. The eNOS is generally activated in response to an increase in intracellular Ca2+ following stimulation with receptor-dependent agonists such as acetylcholine. However, shear stress can also activate this enzyme, independently of Ca2+ level changes, via a tyrosine kinase-dependent mechanism involving its phosphorylation and redistribution. Low concentrations of NO in the endothelial cells prevent their apoptotic death and maintain their integrity during inflammation and atherosclerosis. Distorted production of NO in endothelial cells has been linked to hypertension, hypercholesterolemia, diabetes, and even cardiac failure. This ZooMAb® recombinant monoclonal antibody, generated by our propriety technology, offers significantly enhanced specificity, affinity, reproducibility, and stability over conventional monoclonals.
We are committed to bringing you greener alternative products, which adhere to one or more of The 12 Principles of Green Chemistry.This antibody is Preservative-free, produced without the harm or sacrifice of animals and exceptionally stable to allow for ambient shipping and storage if needed and thus aligns with "Waste Prevention", "Designing Safer Chemicals" and "Design for Energy Efficiency". Click here for more information.
ZooMAb antibodies represent an entirely new generation of recombinant monoclonal antibodies.

Each ZooMAb antibody is manufactured using our proprietary recombinant expression system, purified to homogeneity, and precisely dispensed to produce robust and highly reproducible lot-to-lot consistency. Only top-performing clones are released for use by researchers. Each antibody is validated for high specificity and affinity across multiple applications, including its most commonly used application. ZooMAb antibodies are reliably available and ready to ship when you need them.

Immunogen

KLH-conjugated linear peptide corresponding to 16 amino acids from the Flavodoxin-like domain from the Internal region of human eNOS.

Application

Quality Control Testing

Evaluated by Western Blotting in Rat Spleen tissue lysate.

Western Blotting Analysis: A 1:1,000 dilution of this antibody detected eNOS in Rat Spleen tissue lysate.

Tested Applications

Affinity Binding Assay: A representative lot from a representative lot bound eNOS peptides with a KD of 3.3 x 10-8 in an affinity binding assay.

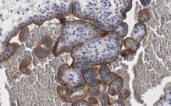
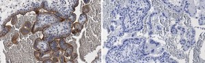
Immunohistochemistry (Paraffin) Analysis: A 1:100 dilution from a representative lot detected eNOS in human placenta tissue sections.

Immunocytochemistry Analysis: A 1:100 dilution from a representative lot detected eNOS in HUVEC and HepG2 cells.

Note: Actual optimal working dilutions must be determined by end user as specimens, and experimental conditions may vary with the end user
Anti-eNOS, clone 2F12 ZooMAb®, Cat. No. ZRB1252, is a recombinant Rabbit monoclonal antibody that specifically targets eNOS and is tested for use in Affinity Binding Assay, Immunocytochemistry, Immunohistochemistry (Paraffin), and Western Blotting.

Biochem/physiol Actions

Clone 2F12 is a ZooMAb® rabbit recombinant monoclonal antibody that specifically detects endothelial nitric oxide synthase (eNOS). It targets an epitope within 16 amino acids from the Flavodexin-like domain.

Physical form

Purified recombinant mouse monoclonal antibody IgG, lyophilized in PBS, 5% Trehalose, normal appearance a coarse or translucent resin. Contains no biocide or preservatives, such as azide, or any animal by-products. Larger pack sizes provided as multiples of 25 μL.

Preparation Note

Recommend storage of lyophilized product at 2-8°C; Before reconstitution, micro-centrifuge vials briefly to spin down material to bottom of the vial; Reconstitute each vial by adding 25 μL of filtered lab grade water or PBS; Reconstituted antibodies can be stored at 2-8°C, or -20°C for long term storage. Avoid repeated freeze-thaws.
Reconstitute lyophilized antibody pellet with 25μL of ultrapure water or Phosphate Buffered Saline (PBS). Please refer to our reconstitution protocol and the specific application guidance on the suggested starting dilutions and sample type.

Legal Information

ZooMAb is a registered trademark of Merck KGaA, Darmstadt, Germany

Disclaimer

Unless otherwise stated in our catalog or other company documentation accompanying the product(s), our products are intended for research use only and are not to be used for any other purpose, which includes but is not limited to, unauthorized commercial uses, in vitro diagnostic uses, ex vivo or in vivo therapeutic uses or any type of consumption or application to humans or animals.


Still not finding the right product?

Try our Product Selector Tool to narrow your options


Storage Class

11 - Combustible Solids

wgk

WGK 1

flash_point_f

Not applicable

flash_point_c

Not applicable



Choose from one of the most recent versions:

Certificates of Analysis (COA)

Lot/Batch Number

It looks like we've run into a problem, but you can still download Certificates of Analysis from our Documents section.

If you need assistance, please contact Customer Support

Already Own This Product?

Find documentation for the products that you have recently purchased in the Document Library.

Visit the Document Library



Global Trade Item Number

SKUGTIN
ZRB1252-25UL04065265244619
ZRB1252-4X25UL04065265244626