Skip to Content
Merck

ZRB1012

Anti-Choline Acetyltransferase (ChAT) Antibody, clone 2K16, ZooMAb® Rabbit Monoclonal

greener alternative

recombinant, expressed in HEK 293 cells

Synonym(s):

CHOACTase, ChAT, Choline acetylase, EC: 2.3.1.6

Sign In to View Organizational & Contract Pricing.

Select a Size

Change View

About This Item

NACRES:
NA.43
UNSPSC Code:
12352203
Conjugate:
unconjugated
Clone:
2K16, recombinant monoclonal, monoclonal
Application:
IF, IHC, WB
Citations:
-
Technical Service
Need help? Our team of experienced scientists is here for you.
Let Us Assist


biological source

rabbit (recombinant)

Quality Level

recombinant

expressed in HEK 293 cells

conjugate

unconjugated

antibody form

purified antibody

antibody product type

primary antibodies

clone

2K16, recombinant monoclonal, monoclonal

product line

ZooMAb® learn more

form

lyophilized

mol wt

calculated mol wt 82.54 kDa, observed mol wt ~65 kDa

species reactivity

rat, mouse

species reactivity (predicted by homology)

human

packaging

antibody small pack of 25 μL

greener alternative product characteristics

Waste Prevention
Designing Safer Chemicals
Design for Energy Efficiency
Learn more about the Principles of Green Chemistry.

enhanced validation

recombinant expression
Learn more about Antibody Enhanced Validation

sustainability

Greener Alternative Product

technique(s)

immunofluorescence: suitable using 1:100, immunohistochemistry: suitable using 1:100, western blot: suitable using 1:1,000

isotype

IgG

UniProt accession no.

greener alternative category

shipped in

ambient

storage temp.

2-8°C

target post-translational modification

unmodified

Gene Information

human ... CHAT(1103)

General description

Choline O-acetyltransferase (UniProt: P28329; also known as EC: 2.3.1.6, CHOACTase, ChAT, Choline acetylase) is encoded by the CHAT gene (Gene ID: 1103) in human. Choline acetyltransferase a single-strand globular protein that catalyzes the biosynthesis of acetylcholine from acetyl CoA and choline. It is one of the most specific indicator for monitoring the functional state of cholinergic neurons in the central and peripheral nervous systems. It is synthesized in the perikaryon of cholinergic neurons and transported to the nerve terminals. Mutations in CHAT gene are known to cause Myasthenic syndrome that is characterized by failure of neuromuscular transmission, which include pre-synaptic, synaptic, and post-synaptic disorders. Three isoforms of Choline acetyltransferase have been described that are produced by alternative splicing. This ZooMAb recombinant monoclonal antibody, generated by our propriety technology, offers significantly enhanced specificity, affinity, reproducibility, and stability over conventional monoclonals. (Ref.: Oda, Y et al., (1999). Pathol. Int. 49(11); 921-937).
We are committed to bringing you greener alternative products, which adhere to one or more of The 12 Principles of Green Chemistry.This antibody is Preservative-free, produced without the harm or sacrifice of animals and exceptionally stable to allow for ambient shipping and storage if needed and thus aligns with "Waste Prevention", "Designing Safer Chemicals" and "Design for Energy Efficiency". Click here for more information.
ZooMAb antibodies represent an entirely new generation of recombinant monoclonal antibodies.

Each ZooMAb antibody is manufactured using our proprietary recombinant expression system, purified to homogeneity, and precisely dispensed to produce robust and highly reproducible lot-to-lot consistency. Only top-performing clones are released for use by researchers. Each antibody is validated for high specificity and affinity across multiple applications, including its most commonly used application. ZooMAb antibodies are reliably available and ready to ship when you need them.

Learn more about ZooMAb here.

Immunogen

KLH-conjugated linear peptide corresponding to 19 amino acids from the N-terminal half of human Choline acetyltransferase.

Application

Anti-Choline Acetyltransferase (ChAT), clone 2K16 ZooMAb, Cat. No. ZRB1012, is a recombinant Rabbit Monoclonal Antibody that specifically targets Choline Acetyltransferase (aka ChAT) and has been tested for use in Immunofluorescence, Immunohistochemistry, and Western Blotting.
Western Blotting Analysis: A 1:1,000 dilution from a representative lot detected Choline Acetyltransferase (ChAT) in mouse brain tissue lysate.

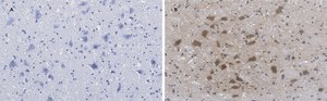
Immunohistochemistry (Paraffin) Analysis: A 1:100 dilution from a representative lot detected Choline Acetyltransferase (ChAT) in rat brain tissue sections.

Immunofluorescence Analysis: A 1:100 dilution from a representative lot detected Choline Acetyltransferase (ChAT) in mouse brain tissue sections.

Biochem/physiol Actions

Clone 2K16 is a ZooMAb rabbit recombinant monoclonal antibody that specifically detects Choline Acetyltransferase. It targets an epitope with in 19 amino acids from the N-terminal half.

Physical form

Purified recombinant rabbit monoclonal antibody IgG, lyophilized in PBS with 5% Trehalose, normal appearance a coarse or translucent resin. Contains no biocide or preservatives, such as azide, or any animal by-products. Larger pack sizes provided as multiples of 25 μL.

Preparation Note

Recommend storage of lyophilized product at 2-8°C; Before reconstitution, micro-centrifuge vials briefly to spin down material to bottom of the vial; Reconstitute each vial by adding 25 μL of filtered lab grade water or PBS; Reconstituted antibodies can be stored at 2-8°C, or -20°C for long term storage. Avoid repeated freeze-thaws.
Reconstitute lyophilized antibody pellet with 25μL of ultrapure water or Phosphate Buffered Saline (PBS). Please refer to our reconstitution protocol and the specific application guidance on the suggested starting dilutions and sample type.

Legal Information

ZooMAb is a registered trademark of Merck KGaA, Darmstadt, Germany

Disclaimer

Unless otherwise stated in our catalog or other company documentation accompanying the product(s), our products are intended for research use only and are not to be used for any other purpose, which includes but is not limited to, unauthorized commercial uses, in vitro diagnostic uses, ex vivo or in vivo therapeutic uses or any type of consumption or application to humans or animals.


Still not finding the right product?

Try our Product Selector Tool to narrow your options


Storage Class

11 - Combustible Solids

wgk

WGK 1

flash_point_f

Not applicable

flash_point_c

Not applicable



Choose from one of the most recent versions:

Certificates of Analysis (COA)

Lot/Batch Number

It looks like we've run into a problem, but you can still download Certificates of Analysis from our Documents section.

If you need assistance, please contact Customer Support

Already Own This Product?

Find documentation for the products that you have recently purchased in the Document Library.

Visit the Document Library


Related Content

Greener ZooMAb® antibodies offer sustainable options with low-waste packaging and BSA-free formulation.