
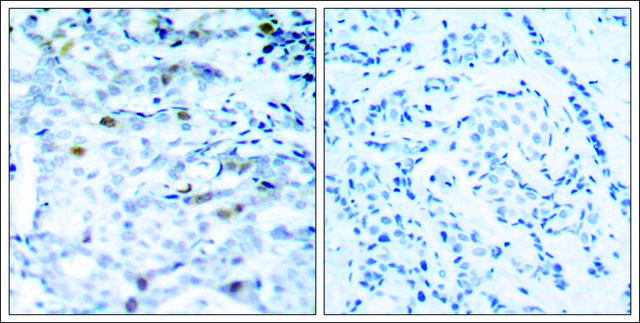
Anti-phospho-CDC2 (pThr161) antibody produced in rabbit

Synonym(s):
Anti-CDC28A antibody produced in rabbit, Anti-CDK1 antibody produced in rabbit, Anti-DKFZp686L20222 antibody produced in rabbit, Anti-MGC111195 antibody produced in rabbit, Anti-cell division cycle 2, G1 to S and G2 to M antibody produced in rabbit
Products
Product Category
Brand
Biological Source
Clonality
Gene Alias
Isotype
Physical Form
Antibody Form
Research Area
Conjugate
Post Translational Modification
Species Reactivity
Technique
Showing 1-2 of 2