Skip to Content
Merck

PLA0046

Sigma-Aldrich

Rabbit anti-ATR Antibody, Affinity Purified

Powered by Bethyl Laboratories, Inc.

Synonym(s):

FCTCS, FRAP-related protein 1, FRAP-related protein-1, FRP1, MEC1, SCKL, SCKL1, ataxia telangiectasia and Rad3 related, ataxia telangiectasia and Rad3-related protein, homolog, homolog (S. cerevisiae), mitosis entry checkpoint 1

Sign Into View Organizational & Contract Pricing

Select a Size


About This Item

UNSPSC Code:
12352203
NACRES:
NA.41
Technical Service
Need help? Our team of experienced scientists is here for you.
Let Us Assist
Technical Service
Need help? Our team of experienced scientists is here for you.
Let Us Assist

biological source

rabbit

Quality Level

conjugate

unconjugated

antibody form

affinity purified immunoglobulin

antibody product type

primary antibodies

clone

polyclonal

species reactivity

human

technique(s)

immunoprecipitation (IP): 2- 5 μg/mg
western blot: 1:2,000-1:10,000

accession no.

NP_001175.1

UniProt accession no.

shipped in

wet ice

storage temp.

2-8°C

target post-translational modification

unmodified

Gene Information

rabbit ... ATR(545)

General description

Ataxia telangiectasia and Rad3-related protein (ATR), a serine/threonine kinase, is a member of the phosphoinositide 3- kinase-related protein kinase s (PIKKs) family mainly to ataxia telangiectasia mutated (ATM) subfamily. It has a phosphatidylinositol 3/4 (PI3/4) kinase catalytic domain, 1 focal adhesion kinase, targeting (FAT) domain, 1 FATC domain, 1 UME domain, and 2 HEAT repeats. ATR has ATR-201 and ATR-202 isoforms. Isoform 1 is expressed at a high level in the testis. Isoform 2 is expressed in the pancreas, liver and, placenta. The ATR gene is located on human chromosome 3q23.

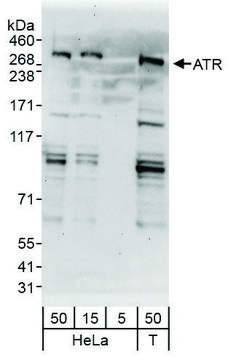
Immunogen

The epitope recognized by PLA0046 maps to a region between residues 1675 and 1725 of human Ataxia Telangiectasia and Rad3-related using the numbering given in entry NP_001175.1 (GeneID 545).

Biochem/physiol Actions

Ataxia-telangiectasia and Rad3-related protein (ATR) plays a key role in maintaining the integrity of the genome. It participates in stabilizing replication forks and modulates the cell cycle progression and DNA repair. ATR plays a vital role in cell viability. It sends out signals to control replication origin firing, replication fork repair, and mitotic entry prematurely. Lack of ATR affects normal development, aging, and tissue homeostasis. Mutation in the ATR gene is associated with Seckel syndrome.

Physical form

Tris-citrate/phosphate buffer, pH 7 to 8 containing 0.09% Sodium Azide

Other Notes

ATR (ATM and Rad3 related) is closely related to ATM (Ataxia telangiectasia, mutated) and is a member of the phosphatidylinositol 3 kinase (PI-3) family that is an early sensor of DNA damage. ATR is a serine-threonine kinase that reacts to UV damage and interruptions in replication. ATR may be able to sense DNA damage through interaction with Rad17 and 1as well as components of nucleosome remodeling complexes. In response to DNA damage, ATR has been shown to phosphorylate a multitude of substrates which include BRCA1, p53, Chk2, Rad 17, and E2F transcription factor 1.

Disclaimer

Unless otherwise stated in our catalog or other company documentation accompanying the product(s), our products are intended for research use only and are not to be used for any other purpose, which includes but is not limited to, unauthorized commercial uses, in vitro diagnostic uses, ex vivo or in vivo therapeutic uses or any type of consumption or application to humans or animals.

Not finding the right product?  

Try our Product Selector Tool.

Storage Class Code

12 - Non Combustible Liquids

WGK

nwg

Flash Point(F)

Not applicable

Flash Point(C)

Not applicable


Choose from one of the most recent versions:

Certificates of Analysis (COA)

Lot/Batch Number

Don't see the Right Version?

If you require a particular version, you can look up a specific certificate by the Lot or Batch number.

Already Own This Product?

Find documentation for the products that you have recently purchased in the Document Library.

Visit the Document Library

Our team of scientists has experience in all areas of research including Life Science, Material Science, Chemical Synthesis, Chromatography, Analytical and many others.

Contact Technical Service