Purification Using GSTrap™ HP, GSTrap™ FF, and GSTrap™ 4B Columns
GSTrap™ affinity columns are specially designed 1 mL and 5 mL HiTrap columns packed with Glutathione Sepharose® High Performance, Glutathione Sepharose® 4 Fast Flow, or Glutathione Sepharose® 4B chromatography media. Refer to the selection guide (Table 1), Purification options for GST-tagged proteins using Glutathione Sepharose® products, for a summary of their differences and to Characteristics of Glutathione Sepharose® products for a list of key characteristics of each.
Sample application, washing, and elution can be performed using a syringe with a supplied connector, a peristaltic pump, or a liquid chromatography system such as ÄKTA (Manual and automated purification). For easy scale-up, two to three columns can be connected together in series simply by screwing the end of one column into the top of the next.

Figure 1.GSTrap™ HP, GSTrap™ 4B, and GSTrap™ FF 1 mL and 5 mL columns allow convenient and simple one-step purification of GST-tagged proteins. Simple purification of GST-tagged proteins is shown at right.
The GSTrap™ HP, FF, and 4B columns are made of polypropylene, which is biocompatible and non-interactive with biomolecules. The top and bottom frits are manufactured from porous polyethylene. Columns are delivered with a stopper on the inlet and a snap-off end on the outlet. Every package includes all necessary components for connection of the columns to different types of equipment. Note that GSTrap™ columns cannot be opened or refilled.
GSTrap™ columns are directly compatible with existing purification protocols for GST-tagged proteins, including on-column proteolytic cleavage methods. If removal of the GST moiety is required, the tagged protein can be digested with an appropriate site-specific protease while bound to the medium or, alternatively, after elution (see later in this chapter). On-column cleavage eliminates the extra step of separating the released protein from GST because the GST moiety remains bound.
One of the three media, Glutathione Sepharose® 4 Fast Flow, is also available in prepacked 20 mL GSTPrep FF 16/10 columns. All three are available in bulk packs (varying from 10 to 500 mL) for packing in a column of the user’s choice.
For cleaning, storage, and handling information, refer to Characteristics of Glutathione Sepharose® products.
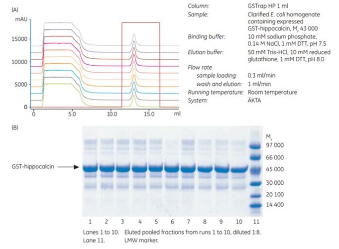
The chromatography media are very stable and the purification process very reproducible. This can be seen from the results of an experiment in which E. coli homogenates containing GST-hippocalcin (Mr 43 000) were repeatedly purified 10 times on the same column without cleaning between runs. The 10 overlaid chromatograms (Figure 2A) show a near perfect match, indicating little or no variation in binding capacity and stability of the medium. SDS-PAGE analysis (Figure 2B) also indicates.

Figure 2.(A) Confirmation of the stability of Glutathione Sepharose® High Performance prepacked in 1 mL GSTrap™ HP columns. Chromatographic overlay of 10 repetitive purifications. (B) Coomassie-stained nonreduced SDS-polyacrylamide gel (ExcelGel SDS Gradient 8–18) of pooled fractions from repetitive purification runs shown in (A).
Sample preparation
Refer to General considerations for purification of GST-tagged proteins for general considerations before beginning this procedure.
Adjust the sample to the composition and pH of the binding buffer by additions from concentrated stock solutions; by diluting the sample with binding buffer; or by buffer exchange.
Pass the sample through a 0.22 µM or a 0.45 µM filter and/or centrifuge it immediately before sample application. If the sample is too viscous, dilute it with binding buffer to prevent it from clogging; increase lysis treatment (sonication, homogenization); or add DNase/RNase to reduce the size of nucleic acid fragments.
Buffer preparation
Use high-purity water and chemicals, and pass all buffers through a 0.45 µM filter before use.
1 to 20 mM DTT may be included in the binding and elution buffers to reduce the risk of oxidation of free -SH groups on GST, which may cause aggregation of the tagged target protein, resulting in lower yield of GST-tagged protein.
Purification
- Fill the syringe or pump tubing with binding buffer. Remove the stopper and connect the column to the syringe (use the connector supplied), laboratory pump, or chromatographic system “drop to drop” to avoid introducing air into the column.
- Remove the snap-off end at the column outlet.
- Equilibrate the column with 5 column volumes of binding buffer.
- Apply the pretreated sample using a syringe fitted to the Luer connector or by pumping it onto the column. For best results, use a flow rate of 0.2 to 1 mL/min (1 mL column) and 0.5 to 5 mL/min (5 mL column) during sample application1.
- Wash with 5 to 10 column volumes of binding buffer or until no material appears in the effluent. Maintain a flow rate of 1 to 2 mL/min (1 mL column) and 5 to 10 mL/min (5 mL column) for washing.
Optional: Collect the flowthrough (in 1 mL fractions for the 1 mL column and 2 mL fractions for the 5 mL column) and reserve until the procedure has been successfully completed. Retain a sample for analysis by SDS-PAGE or by CDNB assay to check for any loss of unbound target protein.
- Elute with 5 to 10 column volumes of elution buffer. Maintain a flow rate of 0.2 to 1 mL/min (1 mL column) and 0.5 to 5 mL/min (5 mL column) for elution.
- After elution, regenerate the column by washing it with 3 to 5 column volumes of binding buffer. The column is now ready for a new purification.
1 One mL/min corresponds to approximately 30 drops/min when using a syringe with a HiTrap 1 mL column, and 5 mL/min corresponds to approximately 120 drops/min when using a HiTrap 5 mL column.

Figure 3. Using a GSTrap™ column with a syringe. A) Prepare buffers and sample. Remove the column’s top cap and snap off the end. B) Load the sample and begin collecting fractions. C) Wash and elute, continuing to collect fractions.
Volumes and times used for elution may vary among tagged proteins. Additional elutions with higher concentrations of glutathione may be required. Flowthrough, wash, and eluted material from the column should be monitored for GST-tagged proteins using SDS-PAGE in combination with Western blotting, if necessary.
Flow rate will affect the binding and elution of GST-tagged proteins to the chromatography medium. Due to the relatively slow binding kinetics between GST and glutathione, it is important to keep the flow rate low for maximum binding capacity. Protein characteristics, pH, and temperature are other factors that may affect the binding capacity. However, when working with sensitive proteins, higher flow rates are recommended to minimize purification time. Combining two or three columns in tandem would increase residence time for sample passing the column, thus allowing higher flow rates to be used.
The reuse of GSTrap™ HP, FF, or 4B columns depends on the nature of the sample and should only be performed with identical samples to prevent cross-contamination.
Application examples
1. High-performance purification of GST-hippocalcin using 1 mL and 5 mL GSTrap™ HP columns
Glutathione Sepharose® High Performance is easy to use for one-step purification of GST-tagged proteins. The following data show the results from experiments using both GSTrap™ HP 1 mL and 5 mL.
In this study, 5 mL and 25 mL of E. coli homogenate containing GST-hippocalcin was loaded on GSTrap™ HP 1 mL and 5 mL columns, respectively. Figure 4A–B shows the chromatograms from the two runs. The amount of protein in the eluted peaks was calculated as 6.5 mg and 39.7 mg, respectively.
The SDS-PAGE analysis showed GST-hippocalcin analyzed under nonreducing and reducing buffer conditions (Figure 4C). Each well was loaded with 10 µg of protein. The SDS-PAGE analysis also showed that free GST was expressed. The presence of reducing agent led to the removal of high-molecular-weight bands, which may correspond to GST-tagged protein that associated by oxidation of the free sulfhydryl groups.


Figure 4.Scale-up from (A) GSTrap™ HP 1 mL to (B) GSTrap™ HP 5 mL. (C) Coomassie-stained reduced and nonreduced SDS-polyacrylamide gel (ExcelGel SDS Gradient 8–18) of fractions from purification.
2. Fast purification of a GST-tagged protein using GSTrap™ FF 1 mL and 5 mL columns
A GST-tagged protein was purified from 8 mL and 40 mL of a clarified cell lysate using GSTrap™ FF 1 mL and 5 mL columns, respectively. Samples were applied to columns pre-equilibrated with PBS (pH 7.3). After washing the columns with 10 column volumes of PBS, GST-tagged protein was eluted using reduced glutathione (Figure 5). Each run was completed in 25 min. Analysis by SDS-PAGE indicated the isolation of highly pure GST-tagged protein (not shown). Yields of tagged proteins were 2.7 mg from GSTrap™ FF 1 mL and 13.4 mg from GSTrap™ FF 5 mL.

Figure 5.Purification of a GST-tagged protein on GSTrap™ FF 1 mL and 5 mL columns. Cytoplasmic extract (8 and 40 mL) from E. coli expressing a GST-tagged protein were applied to GSTrap™ FF 1 mL (A) and GSTrap™ FF 5 mL (B), respectively.
3. Two-step, automated purification using ÄKTAxpress
A two-step, automated purification of GST-hippocalcin from clarified E. coli lysate was performed on ÄKTAxpress. GSTrap™ 4B 1 mL column was used in the first AC capture step and a HiLoad 16/60 Superdex 200 pg column for the SEC polishing step.
Reducing agent (DTT) was included in both sample and buffers. ÄKTAxpress enabled automated loading of eluted fractions of the target protein from the capture step (GSTrap™ 4B) onto the SEC column. Lysis of E. coli containing GST-hippocalcin was performed enzymatically followed by sonication. The lysate was clarified by centrifugation and filtration, and 5 mL of the clarified lysate was loaded on the 1 mL GSTrap™ 4B column. Chromatograms from the automated two-step purification, as well as SDS-PAGE of the eluted pool of target protein, are shown in Figure 6. Two peaks were obtained after SEC: one small and one large. The small peak was possibly aggregates, and the large peak seemed to be dimers of GST-hippocalcin. Evaluation by SDS-PAGE indicated that both peaks contained GST-hippocalcin. The purity of the GST-hippocalcin in the major fraction was good (Figure 6C).
Yield of eluted GST-hippocalcin, determined by absorbance at 280 nm using UNICORN software, was 6.4 mg.
This application shows the benefit of using a two-step purification for increasing the purity of GST-hippocalcin.


Figure 6.(A) Purification of GST-hippocalcin from E. coli lysate using an automated two-step purification on ÄKTAxpress. (B) Enlargement of the peak from the SEC step revealed large aggregates and dimers of purified GST-hippocalcin. (C) SDS-PAGE (ExcelGel SDS Gradient 8–18%) showing final purity of GST-hippocalcin (lane 4).
Materials
To continue reading please sign in or create an account.
Don't Have An Account?